牙齦再生 / 整形治療

牙齦萎縮正常嗎? 為何刷牙越刷越酸?

牙齦萎縮是可以被治療的

大約有九成的人,都有程度不等的牙齦萎縮問題。

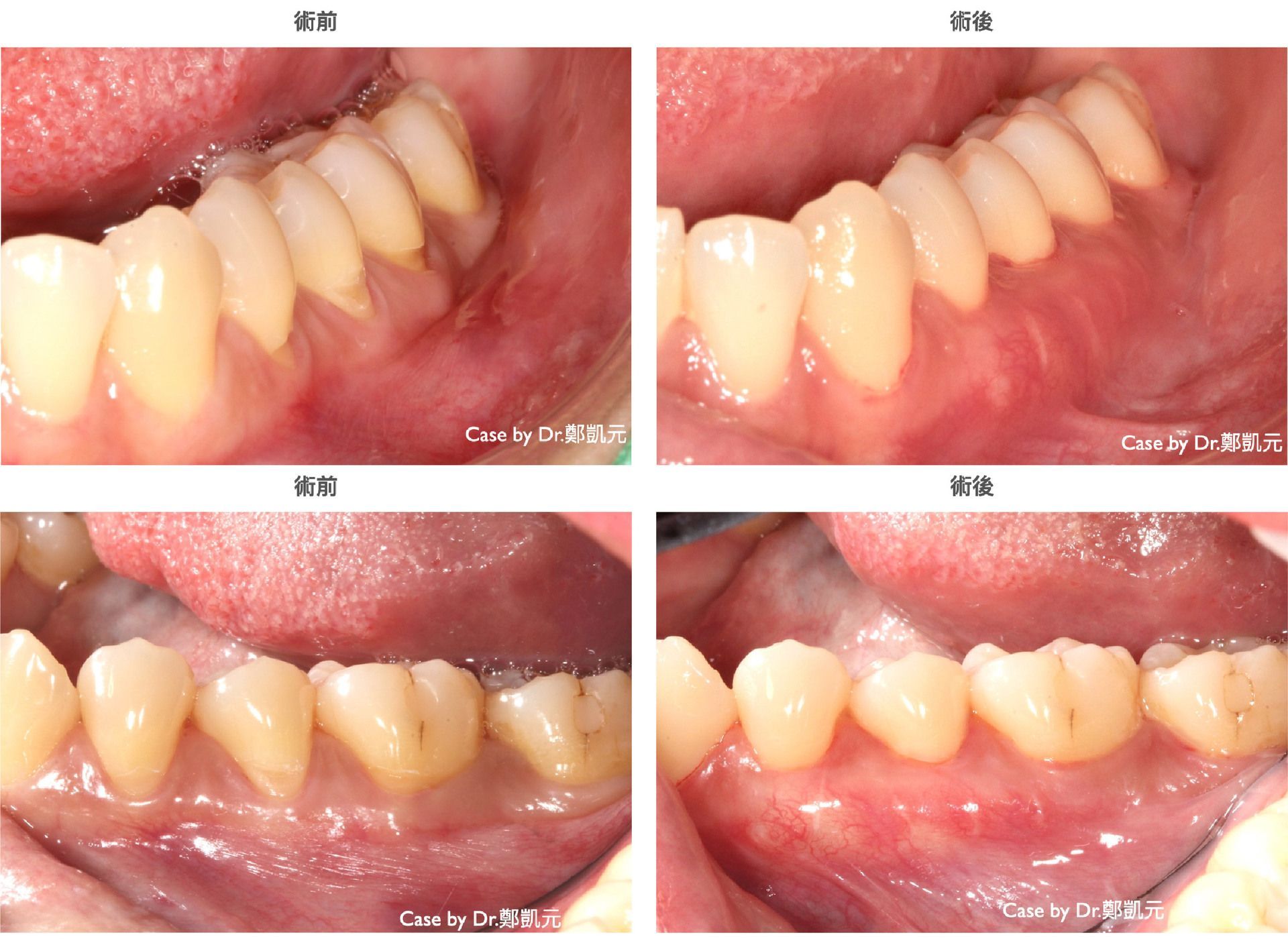
過度刷牙、牙周病、齒列不正都會造成牙齦萎縮,而產生敏感性牙齒、牙菌斑堆積等問題,持續萎縮的話,甚至還會讓牙周病的問題更嚴重、更難控制。



過度刷牙

bravodental101

過度刷牙

bravodental101

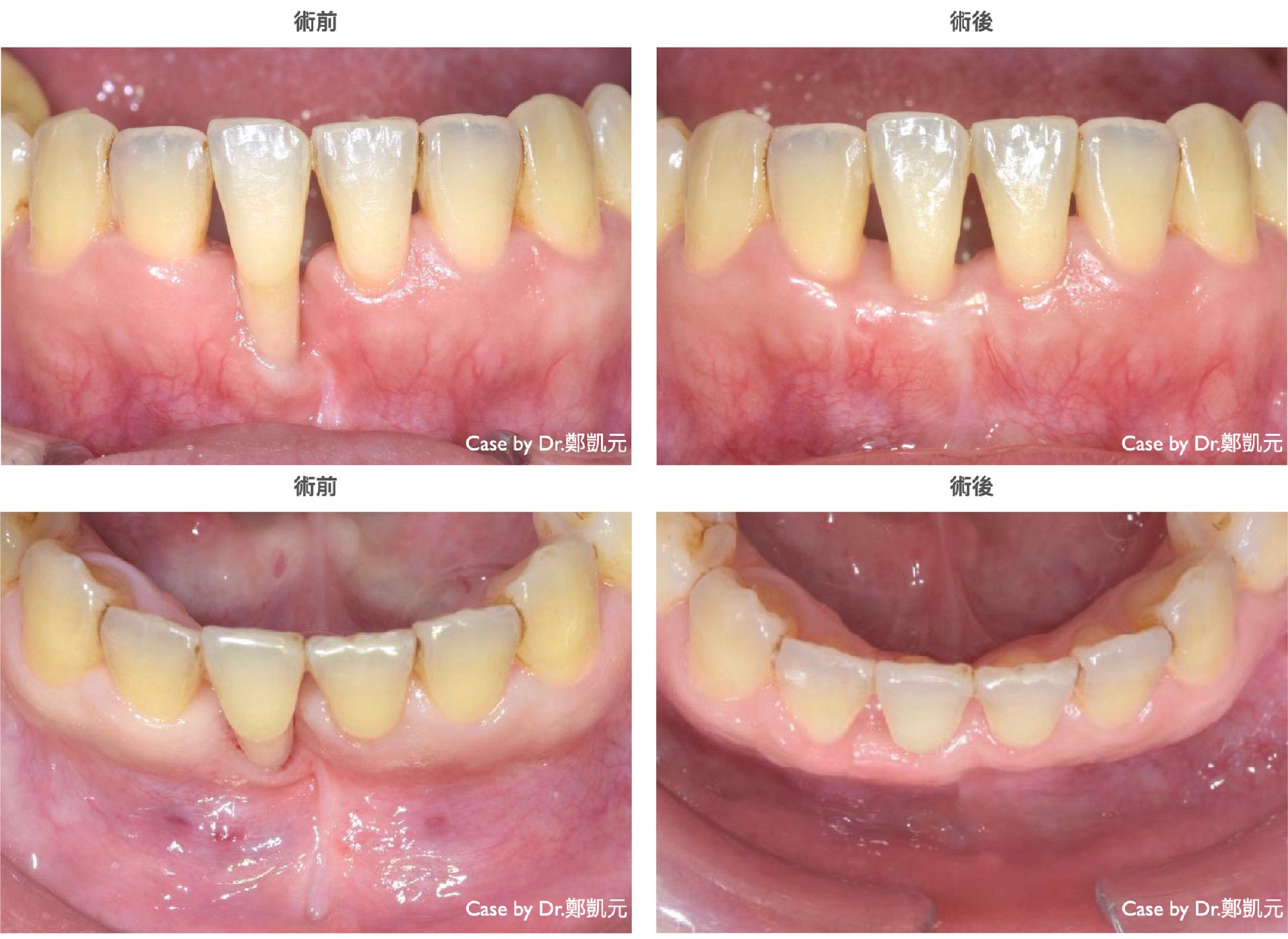
牙周病

bravodental101

牙周病+刷牙過度

bravodental101

嚴重牙周病

bravodental101

矯正治療後牙齦萎縮,微笑曲線不對稱

bravodental101

牙齒的比例怎麼樣才好看?

牙齦的型態不好,也可以整型!

好看的前牙,需要有和諧的軸度、長寬比、適當的牙齦線來做搭配

前牙美觀區牙冠增長術+全瓷冠重建

bravodental101

牙根覆蓋+全瓷冠重建

bravodental101