全瓷假牙
為什麼要做假牙?補牙不可以處理所有的蛀牙嗎?
補牙,就是用樹脂將牙齒的洞給填充起來。
然而這並不能提升牙齒的強度,一旦牙齒缺損的範圍,超過長寬高一定的比例,剩餘的牙齒就容易因為結構不夠強而被咬壞,補牙的材料也難以卡在牙齒上而容易脫落。
補牙適合的是蛀牙較小、牙齒缺損範圍小的情形。
補牙材料有著容易變色、變形、較易磨損的特性,像是我們常常見到舊的補牙變黃變暗、邊緣二次蛀牙、或是後面大臼齒的補牙因為經年累月的使用,被對面的牙齒磨出一個大凹洞。然而每次補牙,又不可避免地要損失一些牙齒結構,到了一個程度之後,牙齒便就無法再補、也沒辦法做假牙,只能被拔掉了。
在牙齒有較大的缺損時,應該用較耐磨的材料保護牙齒
為了不要出現一補再補,造成牙齒結構不佳、斷裂而必須拔牙的情形,應該在牙齒有較大的缺損時,用較耐磨的材料、較能保護牙齒結構的方式來處理,像是用嵌體(齒雕)和假牙來取代補牙。這樣才能最大地延長牙齒的壽命,保護我們的牙齒不用因為斷裂而拔牙。
補牙、齒雕、全瓷冠比較表
| "> | 健保補牙 | 齒雕 | 全瓷冠 |
| 比較圖 | ![]() |
![]() |
![]() |
| 適用範圍 | 小範圍缺損 | 中等範圍缺損 |
大範圍缺損,能最大程度保護牙齒 |
| 耐用度 | 較低,易磨損 | 堅硬、耐磨, 近似於牙齒的琺瑯質 |
堅硬、耐磨,近似於牙齒的琺瑯質 |
| 美觀 | 容易變色 | 像天然牙 |
像天然牙 |
| 優點 | 健保補助 | 修磨量較少 |
有最高的保護力 |
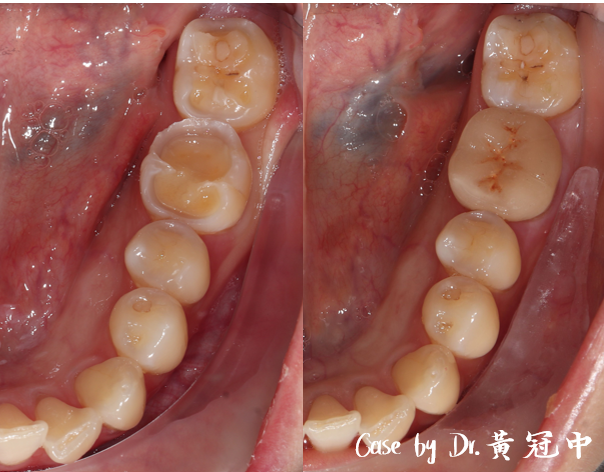
案例: 左下臼齒表面嚴重缺損
病人有嚴重磨耗之臼齒,使用全瓷嵌體修復,既可保留牙齒結構,又兼具美觀與耐用性

傳統假牙和全瓷比較表
全瓷冠有三大特點:透光度高、邊緣美觀和良好的強度。

| 傳統假牙,因內層有金屬透光度較差 | 全瓷假牙,透光感較自然 |
|---|

| 傳統假牙,邊緣會透出金屬的顏色,品質差者甚至會金屬離子滲漏,造成牙齦染色。 | 全瓷假牙,邊緣較美觀。 |
|---|
| 傳統假牙,表層陶瓷強度較弱,易崩裂。抗壓強度約500MPa | 全瓷假牙,抗壓強度最高可到1200MPa |
|---|
案例1:瓷崩

傳統假牙外層的陶瓷,較有可能崩裂損壞。全瓷假牙較為自然美觀。
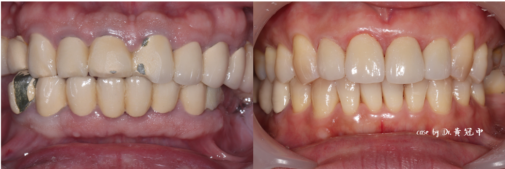
案例2:全瓷冠與傳統假牙之比較

病人因長期牙齒磨損,上門牙選用全瓷假牙、下門牙選用傳統假牙修復。







