矯正治療
給想要矯正的你
“我的牙齒需要矯正嗎?”
隨著網路發達以及時代的進步, 人們越來越注重儀態與容貌, 其中美麗的笑容與整齊的齒列更是許多人追求的目標 , “明眸皓齒”除了可以讓人建立自信, 增進社交及人際關係之外, 對於牙齒的健康也是不可或缺約一環, 齒列矯正可以減少牙齒凌亂的死角縫隙, 降低蛀牙及牙周病的風險, 讓您菜渣不卡卡, 刷牙好容易, 牙齒更健康!
改善齒列咬合功能對於牙周健康或是假牙/植牙的製作也是至關重要, 理想咬合的牙齒就像齒輪一樣能互相契合。當牙齒咬合無法適當對齊時, 這些情況稱為咬合不正; 咬合不正除了咀嚼困難, 牙齒的琺瑯質也會異常磨損, 會更加速蛀牙的風險, 甚至會造成其他更嚴重的健康危害。無論是改善深咬、扶正缺牙區傾倒的鄰牙、重建咬合高度、或是關閉缺牙空間, 都會需要矯正與牙周病治療、植牙、假牙等各專科協同治療, 針對患者口腔健康狀況進行全方位評估, 建立完整治療計畫, 才能達到最佳治療效果。
對於嚴重骨性差異的患者, 若已超出矯正牙齒可移動的範圍, 或同時需達成和諧顏面外觀, 此時可能需要矯正合併正顎手術進行治療。林醫師為長庚醫院講師級主治醫師, 可為您評估合適的矯正合併正顎手術治療計劃, 包含手術優先之正顎手術矯正, 可早期改善外觀或呼吸道, 縮短整體治療時間, 提升滿意度。
案例分享(點選圖示)
給準備開始矯正的你
“要怎麼選擇矯正器種類或是隱形牙套呢?“
固定式矯正器種類包含⾦屬或是透明的⼀般型矯正器以及滑蓋型矯正器, 在伯樂牙醫診所-矯正專科林芷玲醫師都有提供您做選擇, 在初次診療以及蒐集資料後, 林醫師會幫您進⼀步評估適⽤的矯正器種類; 近年來伴隨科技的進步, 隱形牙套/隱適美是矯正治療中的新科技, 讓矯正病患可以告別⼤鋼牙, ⼤幅提升矯正期間美觀、清潔、與舒適度,伯樂牙醫診所提供3D⼝掃並配合電腦模擬動畫, 在矯正前以更精確的⽅式模擬每顆牙⿒的移動量及⽅式。(需經醫師評估並擬定適合的治療計劃)

隱形牙套(隱適美)案例
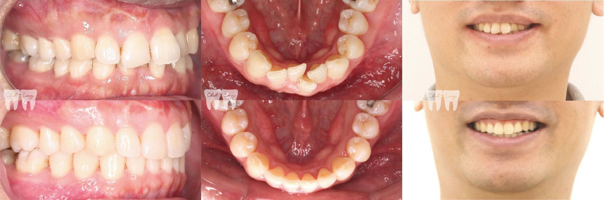
以非拔牙方式配合擴弓以及牙鄰間隙修磨(Interproximal reduction), 改善牙齒凌亂、深咬、及牙齦黑三角問題。



給已經要開始矯正你
“做矯正治療⼀定要拔牙嗎?”
原則上輕度或中度牙⿒擁擠、空隙太多、臉型正常、或是有⽣長淺⼒的⼈, 較不需要拔牙矯正, ⽽ 若是屬於牙⿒超級凌亂、上下⾨⿒前凸暴牙、多⽣牙、或是上下顎骨關係異常, 需要拔牙矯正的可能性就會較⼤。拔牙治療相對困難, 操作不慎有可能出現許多副作⽤, 經由初診資料搜集, 綜合分析頭顱及⿒列X光片、⼝內⼝外照片、以及3D數位牙⿒模型, 依各種不同個案及⽬標, 拔牙/不拔牙只是⼀種策略, 矯正專科醫師會幫你制定最適合的計畫。


參考連結
Lin, CL et al. (2020) "Clinical Effectiveness of Using Clear Aligners in Orthodontic Treatment," Taiwanese Journal of Orthodontics: Vol. 32: Iss. 3, Article 2



